Tradie Health Institute
Protecting the lungs of
Australia’s Tradies
![]()
Every day, thousands of tradies get up and go to work to build roads, tunnels, schools, and homes. They mine resources to help communities survive and thrive, and our farmers grow the vegetables, fruit, grains and meat we put on our plates to feed our families.
These are people who hope to create brighter and better futures through their work. Yet for many, it is this work that has impacted their well-being and left them with irreversible and sometimes fatal health conditions, such as occupational lung diseases.
Silicosis is one of the oldest known occupational diseases, with evidence dating back to ancient civilisations where miners and stone cutters were known to suffer lung damage caused by dust exposure.
What has changed is not the disease – but the scale at which it is now affecting modern workers.
Silicosis exposure in Australia
It’s believed that around 600,000 Australians are exposed to silica dust at work annually.
Silica is found in a wide range of materials, such as soil, sand, natural rocks, concrete, tiles, and engineered stone. Yet its concentration varies within these materials. The greatest risk occurs when these materials are cut, drilled, ground, or otherwise disturbed, releasing fine crystalline silica dust into the air that workers can easily inhale.
Silicosis is a progressive and irreversible lung disease that’s caused by inhaling tiny particles of crystalline silica dust. These particles can become embedded deep within the lungs.
Over time, they trigger inflammation and scarring, making it increasingly difficult to breathe. For many, the symptoms, which include shortness of breath, persistent cough, fatigue, and chest tightness, don’t appear until years after exposure.
By then, the damage is often done. There is currently no cure.

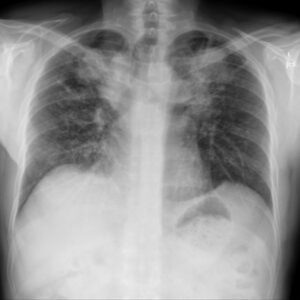
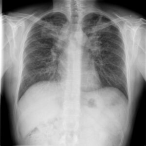
Two chest X-rays of a patient with silicosis taken one year apart, showing the progression of fibrosis.
A response to a growing health crisis
As cases of silicosis and other dust lung diseases began to rise across Australia, it became clear that more needed to be done – not just to treat the disease, but to understand it, detect it earlier, and ultimately prevent it.
In 2018, The Prince Charles Hospital Foundation established the Tradie Health Institute initiative – a focused research area dedicated to improving health outcomes for Australia’s trade, mining, and agricultural workforce.
Working in collaboration with the Queensland Lung Transplant Service, clinicians, scientists, and industry, the initiative has become a driving force in world-first research, pioneering treatments, and early-detection trials.
“We are committed to supporting research that drives real, tangible impacts for the health of our nation’s tradies and their families,” said Steve Francia, CEO of The Prince Charles Hospital Foundation.
“We want to bring hope to those whose occupational lung disease might otherwise feel hopeless.”
All of this research is focused on protecting tradies and their families, but research like this only happens because people and industries get behind it.
– Prof Dan Chambers, Thoracic Transplant Physician
Dust lung diseases in Australia
Silicosis is not the only disease that can result from the inhalation of silica dust. Other work-related lung diseases can also occur following exposure to different respiratory hazards such as gases, fumes, mists, microorganisms or vapours.
The diseases recorded on the Notifiable Dust Lung Disease Register 2024-25 include mesothelioma –a rare cancer commonly caused by exposure to asbestos; chronic obstructive pulmonary disease, including chronic bronchitis and emphysema; and pneumoconiosis, such as silicosis, asbestosis, and black lung disease.
Typically, these dust diseases carry a long latency period, meaning the time between exposure to the disease-causing agent and the first appearance of symptoms can be many years.
“Mining, resources and quarrying (43%), followed by construction (27%) and manufacturing (13%), were the top 3 reported primary industries of occupational exposure for the 292 workers with new notifiable dust lung disease for 2024-25ii,” Notifiable Dust Lung Disease Register 2024-25annual report.

Large shards of crystalline material recovered from a stoneworker’s lungs

Lung cells grown in research lab that have become fibrotic
Turning research into real-world impact
Professor Dan Chambers, senior thoracic physician and head of research at the Queensland Lung Transplant Service (QLTS) and his team are focused on four critical areas: prevention, earlier detection, better treatments, and understanding the disease itself.
“All of this research is focused on protecting tradies and their families, but research like this only happens because people and industries get behind it,” said Prof Dan Chambers.
1. Prevention:
Researchers are beginning to understand why some individuals exposed to silica develop lung disease while others do not, even under similar conditions. This insight has the potential to inform safer practices and more targeted protections for those most at risk.
2. Earlier detection: World-first Technology
In 2024, thanks to funding from the Foundation, researchers from the QLTS gained access to the PExA (Particles in Exhaled Air) machine from Sweden -the first time this unique technology has been used in Australia to support silicosis research.
“We’re trialling a new technology that can detect tiny particles from the deepest part of the lungs using a breath sample. This could allow us to identify disease much earlier – before serious damage occurs,” said Prof Dan Chambers.
“PExA captures particles from the very deepest part of the lung without invasive procedures. This offers exciting possibilities for early diagnosis, disease monitoring, and tracking treatment response,” said Dr Simon Apte, Chief Scientist, Queensland Lung Transplant Service.
Key research advancements made possible by PExA include:
- A world-first comparison of PexA, bronchoalveolar lavage (BAL) and blood tests with the aim to develop a less invasive diagnostic approach.
- Analysis of samples from silicosis patients and healthy volunteers for the development of tools for early disease detection.
- Laying the groundwork for portable, on-site testing for high-risk worksites.
This technology has the potential to revolutionise lung research in Australia, offering earlier, safer, and more accessible detection for those most at risk.
3. Potential treatments: Whole Lung Lavage trial
Advances in silicosis treatment have also been made possible through Whole Lung Lavage trials. This carefully controlled procedure involves washing each lung with a saline solution under general anaesthetic to remove harmful particles from people with early silicosis.
Professor Dan Chambers first conducted these trials for early silicosis at The Prince Charles Hospital in 2020 – the trial helping identify the abnormal cells driving fibrosis, screen compounds to target these cells, and investigate genetic risk factors.
In 2023, through public donations, a vibrating vest device was purchased to assist in the lung lavage procedure.
4. Understanding the disease itself
With the support of the Foundation’s community, in 2023 a state-of-the-art cell sorter was purchased for TPCH, enabling the researchers to perform deeper investigation into how silicosis develops at a cellular level. This work is essential because the more researchers can understand the disease, the closer they can get to changing its trajectory.
The future of silicosis research
The next frontier in protecting Australia’s tradies lies in early, accessible detection and intervention. Researchers supported by the Tradie Health Institute initiative are working toward a future in which lung screening is portable and on-site, enabling high-risk workers to be monitored before symptoms appear–an innovation that has garnered much support from industry.
By combining the world-first PExA technology with ongoing studies in cell biology, genetics, and treatment trials, scientists aim to:
- Identify early signs of silicosis without invasive procedures, including the development of on-site testing capabilities at workplaces.
- Monitor disease progression in real time.
- Test new treatments and preventative strategies.
- Reduce the burden of occupational lung disease and help tradies continue working safely.
“Our ultimate goal is to support research that enables portable, on-site testing, making early, accessible lung screening a reality for high-risk industries,” said Dr Rebekah Engel, Research and Impact Manager, The Prince Charles Hospital Foundation.
Powering today, reinventing tomorrow – your support contributes to life-changing research and patient care initiatives. Donate today and help people live healthier for longer for the next 40 years and beyond.